Experienced Dental Experts

Every treatment is tailored by skilled dentists with years of clinical experience.

Transparent Tooth Implant Cost

Know your tooth implant price upfront with flexible, affordable treatment options.

Pain-Free Dentistry

From root canals to extractions, we ensure maximum comfort using the latest painless techniques.

Advanced Technology

We use 3D dental scans, digital X-rays, and modern surgical tools for accurate diagnosis and treatment.

Glam32 Dr. Baalasakthi, BDS, FCO
Cosmetic Surgeon
Welcome to Glam32 Dental Studio

Dr. Baalasakthi, BDS, FCO is a highly skilled and compassionate cosmetic dentist with over a decade of clinical experience dedicated to enhancing smiles and improving overall oral aesthetics. A graduate of The Tamil Nadu Dr. MGR Medical University, she holds a Bachelor of Dental Surgery (BDS) and has further specialized with a Fellowship in Clinical Orthodontics (FCO) from the Asian Institute of Advanced Dentistry. Registered with the Tamil Nadu Dental Council (Reg. No. 26820), Dr. Baalasakthi combines advanced cosmetic techniques with a patient-centric approach to deliver natural-looking, confident smiles through personalized treatment plans.

Read More
Services

Why Glam32 Dental Studio is the Right Choice for Your Smile?

01

General Dentistry

Comprehensive dental care including check-ups, cleanings, fillings, and preventive guidance for a healthy, confident smile.

02

Cosmetic Dentistry

Enhancing your smile’s beauty with teeth whitening, veneers, bonding, and aesthetic restorations for a confident, radiant look.

03

Restorative Dentistry

Repairing and restoring damaged or missing teeth with crowns, fillings, bridges, dentures, and implants for a strong, natural, and confident smile.

04

Orthodontics

Transforming smiles with advanced braces and clear aligners to correct alignment, improve bite, and enhance overall dental aesthetics.

05

Pediatric Dentistry

Gentle and child-focused dental care that protects developing teeth, prevents cavities, and builds healthy lifelong oral habits.

06

Periodontal Care

Specialized gum care to prevent, treat, and manage periodontal disease, restoring healthy gums and strengthening the foundation of your smile.

07

Emergency Dentistry

Providing fast, reliable relief for sudden dental pain, injuries, and emergencies with immediate expert care when you need it most.

08

Advanced Dental Procedures

Delivering cutting-edge dental treatments like implants, laser dentistry, and full-mouth rehabilitation for superior function, aesthetics, and long-lasting results.

09

Specialized Services

Advanced and personalized dental solutions tailored to complex cases, combining expertise and modern technology for optimal oral health.

900
+ Happy Clients
250
+ Successful Surgeries
7
+ Years Of Experience
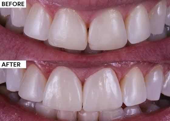
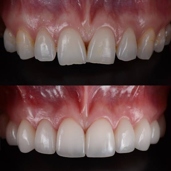
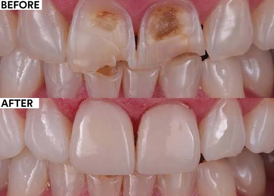
Portfolio

Let's Check Our Latest Portfolio Gallery

We Care for Your Confident Smile with Expertise

At Glam32 Dental Studio, we don’t just provide dental services—we build lasting relationships with our patients based on trust, care, and a commitment to your oral health. Whether it’s a simple visit or a specialized treatment, you can count on us to provide the highest quality of care in every aspect of your dental health.

Contact Now
Testimonials

What Our Client Say's About Us

WhatsApp