Frenectomy

Frenectomy is a minor surgical procedure to remove or modify the frenum, the tissue connecting the lips or tongue to the gums. It is commonly recommended for patients with speech difficulties, spacing between teeth, or gum pull issues. The procedure improves oral function and comfort. At Glam 32 Dental Studio, it is performed using advanced techniques for minimal pain. Healing is quick with proper post-care. It helps improve both dental health and aesthetics.

Impactions

Impaction treatment involves the surgical removal of teeth that fail to erupt properly, most often wisdom teeth. Impacted teeth can cause pain, swelling, infection, and damage to adjacent teeth. Our specialists carefully assess the tooth position using digital imaging. The procedure is done under safe anesthesia for patient comfort. Early treatment prevents future complications. Post-operative care ensures smooth recovery.

Operculectomy

Operculectomy is a surgical procedure to remove excess gum tissue covering a partially erupted tooth. It is commonly performed for wisdom teeth to prevent infection and discomfort. Removing the tissue allows better cleaning and reduces food accumulation. The procedure is quick and minimally invasive. Patients experience immediate relief from pain and swelling. Healing is fast with proper oral hygiene.

Cyst Removal

Dental cyst removal involves surgically eliminating cysts that form in the jawbone or soft tissues. If left untreated, cysts can damage surrounding teeth and bone. At Glam 32 Dental Studio, advanced diagnostic tools ensure accurate detection. The procedure is performed with precision to protect nearby structures. Early removal prevents serious complications. Post-surgical follow-ups support complete healing.

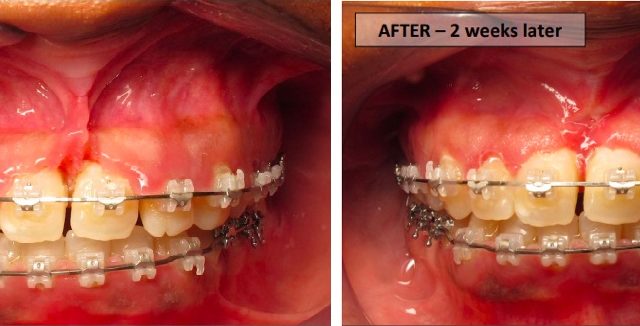
Gingivectomy

Gingivectomy is a gum surgery performed to remove excess or infected gum tissue. It is often recommended for patients with gum disease or uneven gum lines. The procedure helps eliminate pockets where bacteria accumulate. It also enhances the appearance of the smile. Our team ensures minimal discomfort using modern surgical methods. Patients benefit from improved gum health and aesthetics.

Crown Lengthening

Crown lengthening is a procedure that reshapes gum and bone tissue to expose more of the tooth surface. It is done for restorative or cosmetic reasons. This treatment helps in placing crowns or improving gummy smiles. The procedure enhances tooth stability and appearance. Our specialists perform it with precision and care. Proper healing ensures long-lasting results.

Flap Surgery

Flap surgery is a periodontal procedure used to treat advanced gum disease. The gums are gently lifted to remove deep-seated bacteria and tartar. This allows thorough cleaning of tooth roots and bone. The gums are then repositioned for proper healing. It helps reduce pocket depth and prevent further bone loss. Patients experience improved gum health and stability.

Periodontal Surgeries

Periodontal surgeries are performed to treat severe gum infections and supporting bone loss. These procedures aim to control infection and restore gum health. Treatments include cleaning, reshaping bone, and regenerating tissues. Our specialists customize the approach based on disease severity. Advanced techniques ensure safety and comfort. Long-term maintenance improves oral health outcomes.

Biopsy Procedures

Dental biopsy procedures involve removing a small tissue sample for diagnostic examination. It is recommended when abnormal oral lesions or growths are detected. Early diagnosis plays a crucial role in effective treatment. The procedure is quick and minimally invasive. Our clinic ensures precise sampling with patient comfort. Results help guide appropriate medical care.

Management of Oral Cancer

Oral cancer management involves early detection, diagnosis, and coordinated treatment planning. Our team identifies suspicious lesions through thorough clinical evaluation. Biopsies and imaging aid in accurate diagnosis. Early-stage detection significantly improves treatment success. We provide compassionate care and proper referrals when needed. Patient education and follow-up are key parts of management.

Space Infections

Space infections are serious dental infections that spread to facial and neck spaces. They require immediate medical attention to prevent complications. Our specialists diagnose the source and control the infection promptly. Treatment includes drainage, medication, and removal of the cause. Strict protocols ensure patient safety. Early intervention leads to faster recovery.

Dental Implants

Dental implants are a permanent solution for replacing missing teeth. They consist of titanium fixtures placed into the jawbone for strong support. Implants restore chewing function, speech, and appearance. Our clinic uses advanced implant technology for precision placement. The procedure is safe, reliable, and long-lasting. Patients enjoy natural-looking and durable results.

WhatsApp